As a very efficient imaging tool, MRI has proven to serve an important part in the fight against several predominant diseases across the world. However, the complexity and cost of employing traditional MR scanners still restrict their access.
Consequently, over 50% of people in the world do not have access to this possibly life-altering technology, even now. Those who do not have access must often endure long waiting times and travel. If things are to change, we need to rethink MRI.
MAGNETOM Free.Star
MAGNETOM Free.Star represents a disruptively simple approach to MRI that transforms access to high-value care.
- That fits everywhere: MAGNETOM Free.Star innovations enhance siting.
- That is easy to operate: MAGNETOM Free.Star streamlines operations.
- That users can afford: MAGNETOM Free.Star minimizes complexity and costs dramatically.

Image Credit: Siemens Healthineers

Image Credit: Siemens Healthineers

Image Credit: Siemens Healthineers
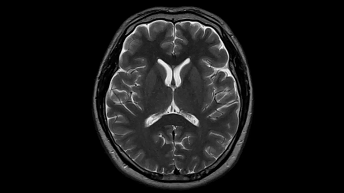
Head
T2 TSE with Deep Resolve
To produce high-resolution images, Deep Resolve, the Al-powered image reconstruction technology gets benefits from intelligent denoising and neural networks.
Deep Resolve Gain & Sharp
0.4 x 0.4 x 5.0 mm2
TA 2:50 min

MAC-ID: 7aaaa0195. Image Credit: Siemens Healthineers
T1 SE
Outstanding T1 imaging with MAGNETOM Free.Star.
0.4 x 0.4 x 5.0 mm2
TA 2:38 minutes

MAC-ID: 7aaaa0195. Image Credit: Siemens Healthineers
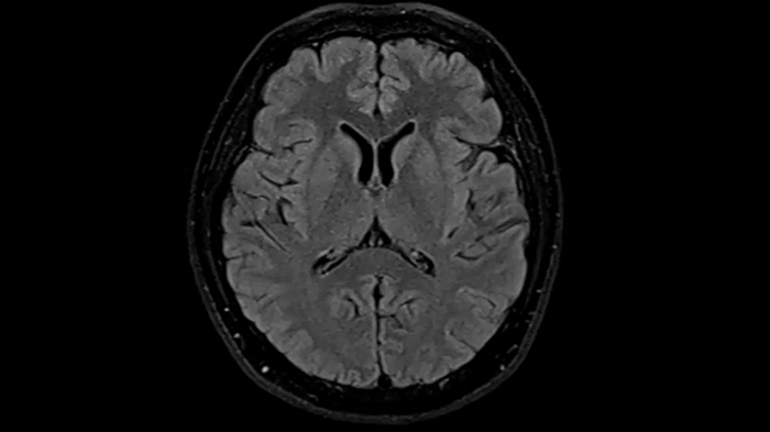
T2 TSE Dark Fluid with Deep Resolve
To produce high-resolution images, Deep Resolve, the Al-powered image reconstruction technology gets benefits from intelligent denoising and neural networks.
Deep Resolve Gain & Sharp
0.4 x 0.4 x 5.0 mm2
TA 4:32 min

MAC-ID: 7aaaa0195. Image Credit: Siemens Healthineers
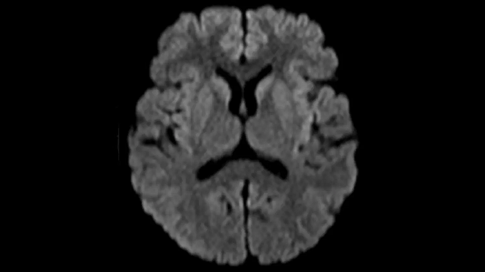
DWI b1000
Exceptional diffusion-weighted imaging with MAGNETOM Free.Star.
PAT 2
0.7 x 0.7 x 5.0 mm2
TA 2:53 minutes

MAC-ID: 7aaaa0195. Image Credit: Siemens Healthineers
Time-of-flight angiography
To identify vessel occlusions or aneurysms, non-contrast enhanced angiography of the cranial vessels is supportive. High-resolution ToF angiography can also portray small arteries for delicate diagnoses.
0.4 x 0.4 x 0.5 mm2
TA 5:31 minutes

MAC-ID: 7aaaa0195. Image Credit: Siemens Healthineers
Neck
Excellent soft tissue contrast in the neck
An all-inclusive soft tissue investigation in the head with outstanding image quality for T1, T2, and diffusion contrast.

MAC-ID: 7aaaa0158. Image Credit: Siemens Healthineers
Spine
T2 TSE
Exceptional C-Spine images with T2 TSE with the use of the Head/Neck coil.
Deep Resolve Gain & Sharp
0.5 x 0.5 x 3.0 mm2
TA 3:28 minutes

MAC-ID: 7aaaa0164. Image Credit: Siemens Healthineers
MEDIC
Outstanding MEDIC imaging with MAGNETOM Free.Star.
0.4 x 0.4 x 3.0 mm2
TA 4:14 minutes

MAC-ID: 7aaaa0164. Image Credit: Siemens Healthineers
T2 TSE
Ideal depiction of the lower spine with T2 TSE imaging with the use of the Spine Coil.
Deep Resolve Gain & Sharp
0.4 x 0.4 x 4.0 mm2
TA 3:24 minutes

MAC-ID: 7aaaa0215. Image Credit: Siemens Healthineers
Knee
PD TSE Fat Sat with Deep Resolve and Simultaneous Multi-Slice
For clear imaging of the knee, outstanding fat suppression and performance are possible. Integrating the influence of Deep Resolve with the established Simultaneous Multi-Slice technique.
SMS 2 | Deep Resolve Gain & Sharp
0.4 x 0.4 x 3.0 mm2
TA 2:56 minutes

MAC-ID: 7aaaa0198. Image Credit: Siemens Healthineers
PD TSE Fat Sat with Deep Resolve and Simultaneous Multi-Slice
For clear imaging of the knee, brilliant fat suppression and performance are possible. Integrating the influence of Deep Resolve with the proven Simultaneous Multi-Slice technique.
SMS 2 | Deep Resolve Gain & Sharp
0.3 x 0.3 x 3.0 mm2
TA 2:16 minutes

MAC-ID: 7aaaa0198. Image Credit: Siemens Healthineers
T1 SE
Outstanding T1 imaging of the knee using MAGNETOM Free.Star.
0.3 x 0.3 x 3.0 mm2
TA 2:54 minutes

MAC-ID: 7aaaa0198. Image Credit: Siemens Healthineers
3D MSK Imaging with Compressed Sensing
Knee imaging with T2w SPACE can be expedited using Compressed Sensing to reduce acquisition times, offering high-resolution images for uncompromised knee assessments.
Compressed Sensing 6
0.3 x 0.3 x 0.6 mm2
TA 4:15 minutes

MAC-ID: 7aaaa0175. Image Credit: Siemens Healthineers
Shoulder
PD TSE Fat Sat with Deep Resolve and Simultaneous Multi-Slice
Exceptional fat suppression and performance for the shoulder’s clear imaging. Integrating the Deep Resolve’s power with the proven Simultaneous Multi-Slice technique.
SMS 2 | Deep Resolve Gain & Sharp
0.4 x 0.4 x 3.0 mm2
TA 3:20 minutes

MAC-ID: 7aaaa0213. Image Credit: Siemens Healthineers
T1 TSE with Deep Resolve and Simultaneous Multi-Slice
Outstanding T1 imaging of the shoulder using MAGNETOM Free.Star. Integrating the Deep Resolve’s power with the proven Simultaneous Multi-Slice technique.
SMS 2 | Deep Resolve Gain & Sharp
0.4 x 0.4 x 3.0 mm2
TA 3:37 minutes

MAC-ID: 7aaaa0213. Image Credit: Siemens Healthineers
Elbow
T2 TSE with Deep Resolve
Exceptional performance for small joints owing to Deep Resolve.
Deep Resolve Gain & Sharp
0.3 x 0.3 x 3.0 mm2
TA 2:54 minutes

MAC-ID: 7aaaa0190. Image Credit: Siemens Healthineers
T1 TSE with Deep Resolve
Thanks to Simultaneous Multi-Slice and Deep Resolve, an exceptional performance for small joints is possible.
SMS 2 | Deep Resolve Gain & Sharp
0.3 x 0.3 x 3.0 mm2
TA 2:15 minutes

MAC-ID: 7aaaa0190. Image Credit: Siemens Healthineers
PD TSE Fat Sat with Deep Resolve
Thanks to Deep Resolve, outstanding performance for small joints is possible.
Deep Resolve Gain & Sharp
0.3 x 0.3 x 3.0 mm2
TA 3:43 minutes

MAC-ID: 7aaaa0190. Image Credit: Siemens Healthineers
Abdomen
T1 VIBE Dixon with CAIPIRINHA
Get benefitted from Siemens Healthineers dedicated CAIPIRINHA acceleration to gain a complete abdominal volume within a single breath-hold. The Dixon technique offers outstanding fat water separation for a flawless representation of the abdominal anatomy.

MAC-ID: 7aaaa0165. Image Credit: Siemens Healthineers
Body diffusion imaging
For all-inclusive abdominal MR capabilities, outstanding quality diffusion imaging.

MAC-ID: 7aaaa0165. Image Credit: Siemens Healthineers
T2 BLADE
T2 motion insensitive abdominal imaging with BLADE results in outstanding outcomes, regardless of the orientation or if fat saturation is needed.

MAC-ID: 7aaaa0165. Image Credit: Siemens Healthineers
Based on the revolutionary High-V MRI platform, MAGNETOM Free.Star leverages the complete power of digital innovations to produce a cost-effective MRI system that ensures greater access to healthcare.
High-V MRI – Value beyond barriers
Digitalization is quickly revolutionizing MR imaging by implementing highly powerful deep learning-based reconstruction and acquisition techniques.
High-V MRI takes the power of digitalization and implements it to a new field strength of 0.55T with inherent clinical advantages. High-V MRI integrates the best of both worlds to provide a new era in MRI that brings in diagnostic confidence in new clinical opportunities and daily routine.
Fits any location
MAGNETOM Free.Star innovates with simplicity. It is a virtually helium-free scanner with an ultra-compact footprint, which is far simpler and more affordable to site. Due to this special design, it can also be offered as a plug-and-play box solution that removes the requirement for exclusive building infrastructure.
MAGNETOM Free.Star innovates with simplicity. Based on DryCool technology, the MAGNETOM Free.Star is a virtually helium-free scanner that comes with an ultra-compact footprint that is way simpler and more affordable to site.

Image Credit: Siemens Healthineers
Plug & Play
MAGNETOM Free.Star is also accessible as a turnkey solution in a container, allowing the user to provide MRI independent from their facility's infrastructure.2
Easy to operate
MAGNETOM Free.Star harnesses the strength of the newest digitalization technologies for true push-button operations. Moreover, to give even more people access to MRI, Siemens Healthineers can help the complete diagnostic workflow from scanning to diagnostic reading.
Fully automated scan workflow
myExam Companion
myExam Autopilot intelligently automates MRI. Even amateur users can deliver top-grade outcomes seamlessly in routine MRI scans. As a result, skilled techs can concentrate more on the patient instead of the scanner operation. MyExamAssist and myExam Cockpit complement the scan experience with guidance and flexible protocol customization.
Remote scan support
WeScan3
WeScan3 is a healthcare service that provides remote scanning support for MR imaging. Users can select remote scan coaching for on-the-job learning (Remote Coaching) or request an MRI scan to be performed remotely (Remote Scanning).

Image Credit: Siemens Healthineers
On-demand diagnostic services
The company supports the complete workflow, from scanning to reading, using remote reading solutions.

Image Credit: Siemens Healthineers
Affordable
The High-V MRI platform has been developed to integrate advanced technologies for improved access to care. As such, MAGNETOM Free.Star dramatically minimizes the complexity and cost associated with traditional solutions.