MAGNETOM Vida – the first 3T MRI scanner with BioMatrix Technology – embraces human nature and the unique challenges that each patient brings to the MRI exam. By embracing these challenges, patient variability an be overcome – ushering in a paradigm shift in MRI. The outcome results in a lower number of rescans, predictable scheduling, and consistent, high-quality personalized exams for high-end clinical routine as well as clinical research.
- Embrace full 3T performance with unparalleled magnet and gradient power
- Embrace true 3T productivity with Turbo Suite and myExam Companion1
- Embrace new 3T clinical capabilities with Inline Compressed Sensing

MAGNETOM Vida. Embrace human nature at 3T. Image Credit: Siemens Healthineers.

BioMatrix Sensors. New ultra-high density BioMatrix coils utilize seamlessly integrated respiratory sensors to acquire and display the patient’s respiration. Image Credit: Siemens Healthineers.

BioMatrix Tuners. CoilShim and SliceAdjust locally adapt to specific patient anatomy and thereby deliver excellent image quality, fat saturation and homogeneity. Image Credit: Siemens Healthineers.

BioMatrix Interfaces. Select&GO touch panels for faster and more accurately patient positioning, even for users without detailed anatomical knowledge. Image Credit: Siemens Healthineers.

BioMatrix Interfaces. The new BioMatrix dockable table with eDrive support provides motorized assistance so that even the heaviest patient can be effortlessly moved to and from the scanner. Image Credit: Siemens Healthineers.

BioMatrix Ultra-High Density Coils: Ultra high-density coils for MSK imaging, such as the UltraFlex small 18 coil, improves SNR and enable high acceleration factors. Image Credit: Siemens Healthineers.
Features and benefits

Image Credit: Siemens Healthineers
myExam Companion1
myExam Companion breaks down the obstacles of difficult MRI operations by employing a new MRI operating philosophy.

Image Credit: Siemens Healthineers
Gradient power, with up to 60/200, simultaneously with 11,000 hp amplifier power
A new level of gradient power at 70 cm, with up to 60/200 XT gradients, provides up to 25% greater SNR in diffusion weighted imaging.

Image Credit: Siemens Healthineers
Ultra-high density 3T coils
A new generation of ultra-high-density coils provides more precision, flexibility, and speed. For example, the new 18-channel UltraFlex coils can speed up tedious and lengthy elbow exams by a factor of three while also increasing spatial resolution.

Image Credit: Siemens Healthineers
Turbo suite
The new Turbo Suite acceleration packages allow for up to 50% faster clinical routine evaluations.

Image Credit: Siemens Healthineers
Free-breathing applications with Inline Compressed Sensing (available in Turbo Suite Elite)
Many kids, the elderly, or critically ill patients may be unable to maintain their breath long enough to undergo a liver examination with dynamic contrast enhancement or an entire cardiac examination.
Compressed Sensing heralds a paradigm shift in cardiac and body imaging therapeutic practice.
Expand the MR patient population eligible for MRI with Compressed Sensing GRASP-VIBE for free-breathing liver dynamics for patients with limited or no breath-hold capability and with Compressed Sensing Cardiac Cine for full free-breathing cardiac exams.

Image Credit: Siemens Healthineers
BioMatrix dockable table with eDrive assistance and AutoDocking
With the BioMatrix dockable table, eDrive support provides motorized assistance, allowing any technologist to lift even the heaviest patient to and from the scanner with ease.

Image Credit: Siemens Healthineers
Deep Resolve5
Sharper images at a faster rate than ever before.

Image Credit: Siemens Healthineers
Efficient energy management with Eco-Power
Save up to 30% of energy compared to the industry average4 by intelligently controlling power-consuming components during scan breaks and while in standby mode. This makes MAGNETOM Vida the most energy-efficient MRI scanner in its class.

Image Credit: Siemens Healthineers
BioMatrix Sensors — Anticipate motion for high-quality results
BioMatrix Sensors, fully incorporated into the system architecture, capture respiratory and cardiac3 motion, improving consistency and freeing up the user to choose the optimal exam approach. This pairing guarantee high-quality outcomes.

Image Credit: Siemens Healthineers
BioMatrix Tuners with CoilShim and SliceAdjust technology
Patient anatomy has physical implications in MRI, like distortion of field homogeneity, which leads to poor image quality.
BioMatrix Tuners use CoilShim and SliceAdjust technology to adjust to difficult anatomical locations, resulting in resilience and reproducible, high-quality imaging for all patients.
As a result of the dramatically improved fat saturation and DWI quality in the head/neck area, CoilShim technology helps prevent repeat scans.
SliceAdjust produces high-quality DWI images, avoiding broken spine artifacts and delivering great correlation to anatomical scans. SliceAdjust also improves fat saturation quality over the full imaging volume in multi-concat TSE exams.

Image Credit: Siemens Healthineers
BioMatrix Interfaces, touch panels for easy and fast patient positioning
With one-touch on the new Select&GO display, patients can be positioned 30% faster2 with reproducible accuracy, all based on the underlying BioMatrix Body Model. Select the region or organ to be scanned for reliable patient positioning with one touch.

Image Credit: Siemens Healthineers
Embrace full 3T performance with unparalleled magnet and gradient power
High-performance clinical MRI is synonymous with 3T MRI. The expectation with 3T MRI is to push and redefine the limits of what is achievable in diagnostic imaging.
An all-new 3T magnet
The new 3T magnet in MAGNETOM Vida delivers outstanding uniformity throughout the whole measurement volume and a broad Field-of-View of 55 × 55 × 50 cm3. As a result, examinations are completed quickly and with robust and consistent fat saturation throughout the whole imaging volume, which is especially significant in abdominal or off-center applications.
A new level of gradient power
MAGNETOM Vida provides MR research power in a patient-friendly 70 cm configuration, with gradient strengths of up to 60/200 concurrently for up to 25% greater SNR in diffusion-weighted imaging.
Cost-efficient energy management
During the breaks between scans, efficient power management disables power-consuming components — EcoPower turns off the cold head in standby, saving up to 30% more energy than the industry average (COCIR average of MRI vendors).

Image Credit: Siemens Healthineers
Embrace true 3T productivity with Turbo Suite and myExam Companion
The MAGNETOM Vida embraces genuine 3T productivity, making quick scan times and push-button examinations clinical realities. The proprietary Turbo Suite is at the heart of its exceptional acquisition speed: Disruptive acceleration technologies (e.g., Simultaneous Multi-Slice and Compressed Sensing) shorten clinical MRI tests across the board while maintaining exam quality.
myExam Companion breaks down the obstacles of complex MRI operations by employing a new MRI operating philosophy.
Guided processes are available in myExam Assist. Users can choose exam strategies or change them flexibly, dependent on the patient's condition. This allows for high-quality, efficient examinations even when conditions alter.
Users can personalize myExam Cockpit in an intuitive manner. It serves as a central hub for protocol management. Users can create and manage procedures, incorporate information into standardized exams, and make those exams available to all MRI department users on a continuous basis.
GO Technologies is a suite of tools that accelerates the entire examination workflow, from patient location to result distribution.

Image Credit: Siemens Healthineers
Deep Resolve—Faster than ever before
Deep Resolve is an AI-powered image reconstruction system that uses convolutional neural networks to expedite MR scans, making them faster than ever before. Faster scans increase workflow efficiency while boosting patient satisfaction.
Deep Resolve’s raw data-to-image reconstruction and extremely quick acquisition are game changers in MRI, allowing for the generation of actionable insights that can be diagnostically useful. In a secure digital environment, an open interface is intended to foster cooperation and co-creation. Deep Resolve technology is one step closer to creating a healthy world for all.
Neurology

Image Credit: Siemens Healthineers

Image Credit: Siemens Healthineers
MSK

Image Credit: Siemens Healthineers
Spine

Image Credit: Siemens Healthineers
Body MRI

Image Credit: Siemens Healthineers
Embrace new 3T clinical capabilities with Inline Compressed Sensing
With Turbo Suite Elite, MAGNETOM Vida offers access to patients who have previously been excluded from MRI due to their medical condition or the exam’s exorbitantly complex nature. Compressed Sensing Cardiac Cine and Compressed Sensing GRASP-VIBE allow free-breathing exams, enhancing the patient experience while broadening the service offering.
Significantly streamlined procedures with automated workflow support clinical fields with high growth potential, such as whole-body MRI.

Image Credit: Siemens Healthineers
Clinical use
Below are a few examples of how MAGNETOM Vida, with the BioMatrix technology, delivers consistent, high-quality personalized exams.
Neurology
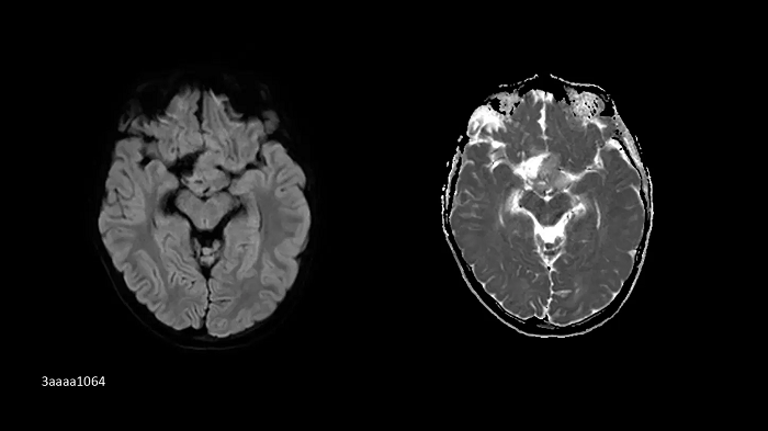
SMS RESOLVE
Exceptional diagnostic performance with RESOLVE using high-resolution DWI and DTI of the brain, as well as increased efficiency with Simultaneous Multi-Slice (SMS).
SMS RESOLVE
PAT 2 SMS 2, b1000| 1.0 × 1.0 × 4.0 mm3 | TA 2:32 minutes

Image Credit: Customer contribution from Austria
3D CS SPACE DIR
Isotropic 3D imaging of the brain with Compressed Sensing within just 3 minutes per scan.
Left:
3D SPACE DIR | PAT 2 | 1.4 mm iso | TA 6:07 minutes
Right:
3D CS SPACE DIR | CS 7 | 1.0 × 1.0 × 1.0 mm3 (interpolated) | TA 3:07 min (interpolated) | TA 3:07 minutes

Image Credit: Siemens Healthineers
DTI fiber tracking 64 directions, post-processed with Neuro 3D

Image Credit: Siemens Healthineers
C-spine imaging with and without CoilShim
The groundbreaking CoilShim technology incorporates shim components into the new BioMatrix Head/Neck coils, enabling patient and region-specific shimming for dramatically increased fat saturation and DWI quality.
- BioMatrix Head/Neck 20 (18° tilt)

Image Credit: Siemens Healthineers
BioMatrix SliceAdjust
Prevent broken spine artifacts in the whole spine DWI

Image Credit: Siemens Healthineers
Brachial plexus - 3D T2 SPACE
UltraFlex Large 18
BioMatrix Head/Neck 64

Image Credit: Siemens Healthineers
Orthopedics
Hip imaging with the new Ultraflex Coils
In pediatrics, high-resolution bilateral hip imaging with the new UltraFlex Coils was performed on an 8-year-old boy.

Image Credit: Radiologie Miinchen Harlaching, Munich, Germany
Knee imaging with the new Tx/Rx Knee 18
The new coil provides high-resolution knee imaging as well as a wider coil aperture to accommodate a larger patient population.

Image Credit: University Hospital Tübingen, Germany
Foot/ankle imaging with the new Ultraflex Coils
The new coils allow ultra-high-density orthopedic imaging with the flexibility to apply in different anatomical regions.

Image Credit: Radiologie München Harlaching, Munich, Germany
Shoulder imaging
Shoulder Shape 16 coil with patient-adaptive design enables Simultaneous Multi-Slice scan acceleration.
Left:
PD TSE FS | PAT 2 | 0.4 x 0.4 x 3.0 mm3 | TA 4:06 minutes
Right:
SMS PD TSE FS | PAT 2 SMS 2 | 0.4 x 0.4 x 3.0 mm3 | TA 3:08 minutes

Image Credit: Radiologie München Harlaching, Munich, Germany
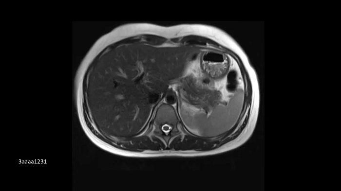
Abdominal imaging
Abdominal imaging with the new Contour 24 coil
Increased patient comfort with ultra-high-density coils that provide a blanket-like feeling.

Image Credit: Siemens Healthineers
3D T1 CAIPIRINHA VIBE Dixon
1 station
50 cm z-FOV
Full abdominal coverage from the liver dome to the pelvis enables comprehensive oncological scans in a single station with outstanding quality.
- Body 18
- BioMatrix Spine 72

Image Credit: Siemens Healthineers
High-resolution MRCP
Left:
3D T2 SPACE | PAT 3 | 0.5 × 0.5 × 1.0 mm3 | TA 5:05 minutes respectively triggered Middle:
3D T2 CS SPACE | CS 20 | 0.5 × 0.5 × 1.0 mm3 | TA 1:26 minutes respectively triggered
Right:
3D T2 CS SPACE | CS 23 | 0.4 × 0.4 × 1.6 mm3 | TA 0:15 minute breath-hold
- Body 18
- BioMatrix Spine 32

Image Credit: Siemens Healthineers
Compressed Sensing GRASP-VIBE
GRASP-VIBE Compressed Sensing for dynamic liver imaging in free-breathing patients who cannot hold their breath reliably.
- BioMatrix Spine 72
- Body 18

Image Credit: University Hospital Tübingen, Germany
BioMatrix respiratory sensor
Respiratory triggering is possible without using a navigator tup or a breathing belt.
T2 TSE FBLADE FS
- Body 18
- BioMatrix Spine 72

Image Credit: Siemens Healthineers
Cardiovascular imaging
MR Angiography of the carotids.
- BioMatrix Spine 32
- BioMatrix Head/Neck 20

Image Credit: Siemens Healthineers
Compressed Sensing Cardiac Cine
Compressed Sensing Cardiac Cine for free-breathing Cardiac Cine imaging.
Left:
- BioMatrix Spine 32
- Body 18
Right:

Realtime 2D Cine CS. Image Credit: Siemens Healthineers
Realtime 2D Cine CS TrueFISP. Image Credit: Blemsersi Radfospital Australian, Germany
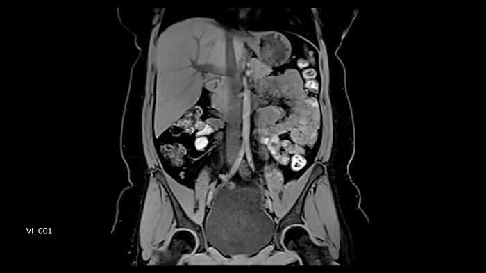
Whole-body imaging
Full Whole-Body Coverage in Only 5 Stations
Enhanced whole-body DWI quality due to BioMatrix SliceAdjust.
- BioMatrix Head/Neck 20
- BioMatrix Spine 72
- 2× Body 18
- Peripheral Angio 36

Image Credit: University Hospital Tubingen, Germany
Technical details
Source: Siemens Healthineers
| . |
. |
| Magnet System |
|
| Field strength |
3 Tesla |
| Bore size |
70 cm / 2.30 ft Open Bore design |
| Helium consumption |
Zero Helium boil-off technology |
| Shimming |
Passive and active |
| Gradient strength |
XQ gradients 45/200 simultaneously [2.03 MW]
XT gradients 60/200 simultaneously [2.70 MW] |
| RF technology |
|
| Maximum number of channels7 |
204, 228 |
| Number of independent receiver channels that can be used simultaneously in one single scan and in one single FoV, each generating an independent partial image |
32, 64, 128 |
| Power consumption |
Eco-Power technology |
| Siting and Installation |
|
| System length |
186 cm / 6.10 ft cover to cover |
| System weight (in operation) |
7.35 tons / 15,432.36 lb |
| Minimum room size8 |
31 m2 / 333.68 sq ft |