Acquisition of desirable organoid cultures depends on the introduction of a variety of cytokine combinations into an organoid media. Based on the cell source and the final differentiation type, these combinations regulate the signaling pathways during organoid formation. For instance, Wnt is one of the most frequently used cytokines to produce and culture organoids because Wnt signaling helps stimulate the formation of organoids.
Organoid patterns are guided by BMP signaling, while FGF signaling encourages the growth of stem cells within them. Additional growth factors, including EGF, Noggin (NOG), R-spondin (RSPO1), and HGF, are also key components of organoid media. The necessary combinations of these growth factors are contingent on the source of the target cells and the developmental pathways involved.
Sino Biological can provide extensive growth factors characterized by batch-to-batch consistency, validated bioactivity, and purity. These factors are central to ensuring consistent and optimal organoid growth. Sino Biological’s products are renowned for quality and performance, recognized across the market and endorsed by the number of organoid platforms used by its clients.
Cytokines designed for organoid culture

Image Credit: Sino Biological Inc.
Highlighted products
WENR (Wnt3a/EGF/Noggin/RSPO1) is organoid culture's most familiar cytokine scheme. The various combinations of these cytokines make it possible to culture almost all organoids, including gastric epithelial organoids, liver organoids, pancreatic organoids, and breast organoids.
Sino Biological has developed WENR cytokines of the highest standard, all of which demonstrate high batch-to-batch consistency, low endotoxin, and validated bioactivity, supporting the various needs of different organoid cultures.
Cytokines in organoid culture: Excellent performance validated by end users
Human fetal thyroid organoids
Human EGF (Cat#: 10605-HNAE)

(B) Time point brightfield images of human fetal thyroid organoids. (C) Immunofluorescence double‐labeled human fetal thyroid organoid. Source: https://doi.org/10.1002/advs.202105568
Colorectal cancer organoids
Human RSPO1, mouse NOG, and mouse EGF (Cat#: 11083-HNAS; Cat#: 50688-M02H; Cat#: 50482-MNCH)

Representative bright-field images for colorectal cancer organoids on day 0 and day 24 in response to 5-Fu treatment. (A) 5-Fu sensitive organoids; (B) 5-Fu resistant organoids. Sino Biological proteins used in the organoid culture: RSPO1 (Cat#: 11083-HNAS), NOG (Cat#: 50688-M02H), EGF (Cat#: 50482-MNCH). Source: https://doi.org/10.3389/fonc.2022.855674
Colorectal cancer organoids
Human RSPO1 (Cat#: 11083-HNAS)

(B) Time course culture of mCRC organoids with different morphologies. (C) Histopathological features of primary tumors and Patient Derived Organoids. Source: https://doi.org/10.3389/fbioe.2023.1190637
Mouse bladder organoids
Mouse FGF-7 (Cat#: 50394-M07E)

Mouse bladder organoids after 14 days in culture. Data provided by Dr. Yin at Washington University, St. Louis, MO. Image Credit: Sino Biological Inc.
Human vascular organoids
FGF2, VEGF165, and EGF (10014-HNAE/11066-HNAH/10605-HNAE)

iPSC-derived human vascular organoids were cultured with FGF2 (Cat#: 10014-HNAE), VEGF165 (Cat#: 11066-HNAH), EGF (Cat#: 10605-HNAE). Red arrows represent vascular organoids. Image Credit: Sino Biological Inc.
Product validation data
High purity and SEC-HPLC verified
Human noggin (Cat#: 10267-HNAH)

≥ 95% as determined by SDS-PAGE and SEC-HPLC. Image Credit: Sino Biological Inc.
Human FGF-7 (Cat#: 10210-H07E)

≥ 95% as determined by SDS-PAGE and SEC-HPLC. Image Credit: Sino Biological Inc.
Human FGF10 (Cat#: 10573-HNAE)

≥ 95% as determined by SDS-PAGE and SEC-HPLC. Image Credit: Sino Biological Inc.
Human/Cynomolgus VEGF165 (Cat#: 11066-HNAH)

≥ 95% as determined by SDS-PAGE and SEC-HPLC. Image Credit: Sino Biological Inc.
Industry-leading activity
Human EGF (Cat#: 10605-HNAE)

Measured in a cell proliferation assay using Balb/C 3T3 mouse embryonic fibroblasts. Image Credit: Sino Biological Inc.
Human RSPO1 (Cat#: 11083-HNAS)

Measured by its ability to induce activation of ß-catenin response in a Topflash Luciferase assay using HEK293T cells. Image Credit: Sino Biological Inc.
Human HGF (Cat#: 10463-HNAS)

Measured by its ability to neutralize TGF-beta mediated inhibition on Mv-1-Lu cell proliferation. Image Credit: Sino Biological Inc.
GMP-grade activin A (Cat#: GMP-10429-HNAH)

Measured by its ability to inhibit proliferation of MPC-11 cells. The specific activity is >1000 U/mg. Image Credit: Sino Biological Inc.
High lot-to-lot consistency
Human EGF (Cat#: 10605-HNAE)

Three independent batches of human EGF protein (Cat#: 10605-HNAE) have identical bioactivity. Image Credit: Sino Biological Inc.
GMP-grade human OSM (Cat#: GMP-10452-HNAH)

Three independent batches of human OSM protein (Cat#: GMP-10452-HNAH) have identical bioactivity. Image Credit: Sino Biological Inc.
Source: Sino Biological Inc.
| Cytokines |
Cat# |
Species |
Expression Host |
Purity |
Activity |
Endotoxin |
| EGF |
GMP-10605-HNAE
4 Citations |
Human |
E. coli |
≥ 95 % (SEC-HPLC) |
Active |
< 5 EU/mg |
| FGF7 |
10210-H07E
2 Citations |
Human |
E. coli |
≥ 95 % (SEC-HPLC) |
Active |
< 0.01 EU/μg |
| FGF10 |
10573-HNAE
3 Citations |
Human |
E. coli |
≥ 95 % (SEC-HPLC) |
Active |
< 5 EU/mg |
| HGF |
10463-HNAS
20 Citations |
Human |
CHO Stable Cells |
≥ 95 % (SEC-HPLC) |
Active |
< 0.01 EU/μg |
| NOG |
10267-HNAH |
Human |
HEK293 Cells |
≥ 95 % (SEC-HPLC) |
Active |
< 10 EU/mg |
| Activin A |
10429-HNAH
5 Citations |
Human, Mouse,
Rat, Cynomolgus,
Rhesus |
HEK293 Cells |
≥ 95 % (SEC-HPLC) |
Active |
<10 EU/mg |
Organoid analysis and characterization
Once a culture of organoids has been successfully acquired, an assessment must be performed to evaluate whether the cultured organoids, in effect, recapitulate key aspects of the relative human tissue or organ.
This validation is a necessary requirement in order to use organoids in any subsequent applications. Currently, the methods primarily used to analyze organoids include H&E staining, immunohistochemistry, immunofluorescence, and single-cell sequencing. These methods can be carried out to investigate various elements of the organoids, including morphology, histopathology, and molecular genetics.
Validating organoid markers is vital when establishing the successful culturing of organoids and offers valuable insight regarding any changes in cellular physiological and pathological qualities.
Sino Biological has a vast array of high-quality organoid marker antibodies readily available for immunofluorescence, immunohistochemistry, flow cytometry, WB, and immunoprecipitation applications, supporting organoid research and validation.
List of normal organoid markers
Source: Sino Biological Inc.
| Organoid Type |
Biomarker |
| Cardiac Organoid |
IRX4, Ki67, TBX5, N-Cadherin, beta-Catenin, CD31, Alpha-fetoprotein, VE-Cadherin, Troponin I |
| Prostate Organoid |
KRT5, Cytokeratin 8, p63, PSA, Androgen receptor, KRT14, E-Cadherin, Vimentin, Nkx3.1, KRT18, Chromogranin A |
| Breast Organoid |
KRT18, KRT14, p63, Cytokeratin 8, EpCAM, E-Cadherin, Actin |
| Inner Ear Organoid |
PAX8, E-Cadherin, PAX2, SOX2, GATA3, Jagged 1, TUBB3, KRT18, PCP4, ANXA4, SPARCL1 |
| Blood Vessel Organoid |
CD31, PDGFRB, ACTA2, Actin, Ki67, VE-Cadherin |
| Retinal Organoid |
ISL1, Ki67, SOX2, Nestin, GFAP, Vimentin |
| Thyroid Organoid |
PAX8, Thyroid peroxidase, SLC5A5, TTF1, FOXO1, TJP1 |
| Liver Organoid |
KRT19, HNF4A, Albumin, EpCAM, TJP1, E-Cadherin, PCK1, ABCC2 |
| Lung Organoid |
TJP1, Uteroglobin, E-Cadherin, FoxJ1, p63, SOX2, Cytokeratin 8, Cytokeratin 17 |
| Brain Organoid |
TUBB3, SOX2, Ki67, PAX2, EMX1, Neuropilin-2, Transthyretin, MAP2, N-Cadherin, CALB2, DCX |
| Intestinal Organoid |
Albumin, PDX1, LGR5, CD34, c-Kit, EpCAM, CDX2, E-Cadherin, Chromogranin A, KRT20, Ki67, SOX2 |
| Kidney Organoid |
PAX2, PODXL, N-Cadherin, Aquaporin 1, E-Cadherin, TIM-1, Vimentin, CD31, PAX8 |
| Gastric Organoid |
FOXF1, KLF5, GATA4, PDX1, SOX2, E-Cadherin, ACTA2, CDX2, PGC |
| Pancreas Organoid |
KLF4, PDX1, ONECUT1, KRT19 |
List of tumor organoid markers
Source: Sino Biological Inc.
| Organoid Type |
Biomarker |
| Liver Cancer |
EpCAM, Alpha-fetoprotein, GPC3, beta-Catenin, Ki67, KRT19 |
| Gastric Cancer |
CEACAM1, KRT7, KRT20, Ki67, E-Cadherin, p53 |
| Bladder Cancer |
KRT7, KRT20, Ki67, KRT5, Cytokeratin 8, p53, KRT14, FOXA1, p63, CD44 |
| Biliary Cancer |
KRT7, MUC1, p53, KRT19, EpCAM, S100P, N-Cadherin, NCAM |
| Nasopharyngeal Cancer |
Ki67, CD133, CD44 |
| Lung Cancer |
Aryl Hydrocarbon Receptor, Napsin A, TTF-1, KRT7, p63, NCAM, Synaptophysin |
| Breast Cancer |
ER alpha, Progesterone receptor, Her2, Ki67, KRT14, p63, KRT5, Cytokeratin 8, P-cadherin, E-Cadherin, KRT18 |
| Colorectal Cancer |
MSH6, Ki67, CDX2, KRT20, beta-Catenin, P-CK, OLFM4 |
| Prostate Cancer |
Ki67, PTEN, Androgen receptor, NKX3.1, p63, PSA, GSTP1, ACTA2, KRT5, Cytokeratin 8, E-Cadherin, Vimentin, KRT14 |
| Ovarian Cancer |
p53, PAX8, Cytokeratin 8, ER alpha, HE4, Progesterone receptor, KRT7, E-Cadherin, Her2, KRT20, Ki67, CD9, KRT19, EpCAM, ALDH1A1, CD44 |
| Pancreatic Cancer |
Synaptophysin, Ki67, Chromogranin A, KRT19, MUC1 |
Product validation data
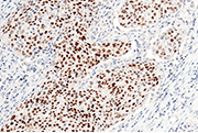
Ki67 antibody (Cat#: 100130-MM19)

Immunochemical staining of human Ki67 in human lung cancer. Image Credit: Sino Biological Inc.
p63 antibody (Cat#: 100266-R143)

Immunochemical staining of human p63 in human breast carcinoma. Image Credit: Sino Biological Inc.
KRT19 antibody (Cat#: 100306-MM08)

Immunochemical staining of human KRT19 in human thyroid cancer. Image Credit: Sino Biological Inc.
p53 antibody (Cat#: 90001-R002)

Immunochemical staining of p53 in human lung cancer. Image Credit: Sino Biological Inc.
Testimonials from partners
D1Med is considered a leader in the organoid field. The company provides pharmaceutical companies with new clinical solutions for precision cancer medicine as well as high-grade organoid models and other related services .
D1Med has used Sino Biological's top-quality cytokine products such asFGFs, Noggin, R-Spondin 1, and EGF to develop a range of standardized organoids such as stomach, intestine, kidney, lung, and liver, as well as tumor organoids that replicate breast, lung, liver, and ovarian cancers. These organoids have been successfully deployed in drug development and precision therapy development applications.
As our strategic partner and long-term supplier, Sino Biological always provides recombinant protein raw materials with excellent quality and stable performance for our organoid platform, fully guaranteeing the stability and high efficiency of the organoid culture system.”
Guoqiang Hua, Ph.D Founder & Chairman, D1Med Technology (Shanghai) Inc.
Organoid image gallery (Courtesy of D1Med)

Fluorescent staining of human small intestine organoids

Image Credit: D1Med
Overview and resources
Organoid technology has progressed at an accelerated rate since Hans Clevers first cultured intestinal organoids with crypt-villus structures in vitro in 2009. As of 2023, scientists have been able to fabricate a wide rage of normal and tumor organoids, including brain, heart, intestinal, kidney, liver, lung, breast, and retinal organoids, with great success.
Recently, organoid technology has proven itself to be one of the state-of-the-art technologies at the vanguard of the biomedical field. This emerging technology is now used across an extensive range of applications in disease modeling, drug discovery and screening, cell therapy, companion diagnostics, regenerative medicine, and many more.
The organoid industry explores new opportunities
Through inclusion in and the support of the European Union Horizon 2020 (EU H2020) program, organoids have gained widespread recognition.
In December 2022, the FDA eliminated mandated animal testing requirements for new drugs, ushering in a range of possibilities for progression in organoid research and drug development.
As a worldwide market leader in life science reagents, Sino Biological has an extensive range of premium products readily available, including more than 800 cytokines, marker antibodies, ELISA kits, and antibody pairs. These products can be customized to support customers and help them navigate key steps of organoid culture, differentiation, analysis, and identification.
About Sino Biological Inc.
Sino Biological is an international reagent supplier and service provider. The company specializes in recombinant protein production and antibody development. All of Sino Biological's products are independently developed and produced, including recombinant proteins, antibodies and cDNA clones. Sino Biological is the researchers' one-stop technical services shop for the advanced technology platforms they need to make advancements. In addition, Sino Biological offer pharmaceutical companies and biotechnology firms pre-clinical production technology services for hundreds of monoclonal antibody drug candidates.
Sino Biological's core business
Sino Biological is committed to providing high-quality recombinant protein and antibody reagents and to being a one-stop technical services shop for life science researchers around the world. All of our products are independently developed and produced. In addition, we offer pharmaceutical companies and biotechnology firms pre-clinical production technology services for hundreds of monoclonal antibody drug candidates. Our product quality control indicators meet rigorous requirements for clinical use samples. It takes only a few weeks for us to produce 1 to 30 grams of purified monoclonal antibody from gene sequencing.
Sponsored Content Policy: News-Medical.net publishes articles and related content that may be derived from sources where we have existing commercial relationships, provided such content adds value to the core editorial ethos of News-Medical.Net which is to educate and inform site visitors interested in medical research, science, medical devices and treatments.