White-tailed deer susceptible to SARS-CoV-2 infection, study finds

A team of scientists from the United States has recently demonstrated that white-tailed deer are highly susceptible to severe acute respiratory syndrome coronavirus 2 (SARS-CoV-2) infection. Moreover, the infected animals are capable of transmitting the virus to their non-infected counterparts via indirect contact. The study is currently available on the bioRxiv* preprint server.

Study: Susceptibility of white-tailed deer (Odocoileus virginianus) to SARS-CoV-2. Image Credit: Warren Metcalf / Shutterstock
Study: Susceptibility of white-tailed deer (Odocoileus virginianus) to SARS-CoV-2. Image Credit: Warren Metcalf / Shutterstock

This news article was a review of a preliminary scientific report that had not undergone peer-review at the time of publication. Since its initial publication, the scientific report has now been peer reviewed and accepted for publication in a Scientific Journal. Links to the preliminary and peer-reviewed reports are available in the Sources section at the bottom of this article. View Sources

Background

Although there is uncertainty about the exact origin of SARS-CoV-2, a pathogen spillover from animals to humans is likely responsible for the emergence of coronavirus disease 2019 (COVID-19) pandemic. Genomic analysis studies have revealed that SARS-CoV-2 shares high genetic similarities with coronaviruses found in bats, especially horseshoe bats. However, current evidence indicates that the virus might have transmitted from an animal source to humans via an intermediate host. Although initially it was hypothesized that pangolins are the intermediate hosts for SARS-CoV-2, phylogenetic and molecular genetic sequencing analyses have failed to support the hypothesis. Thus, to accurately understand the viral origin as well as the mechanism of cross-species transmission, it is important to identify the animal species that are susceptible to SARS-CoV-2 infection and can serve as a potential zoonotic reservoir for the virus.    

Current study design

In the study, the scientists investigated whether white-tailed deer are susceptible to SARS-CoV-2 infection, because the angiotensin-converting enzyme 2 (ACE2) found in white-tailed deer shares a high degree of similarity to human ACE2.

Specifically, they have intranasally infected white-deer fawns with SARS-CoV-2 to check the viral infectivity and pathogenicity. Moreover, they have investigated whether infected fawns are capable of transmitting the infection to non-infected fawns via indirect contact exposure.

Important observations

Using immunofluorescence staining approaches, the scientists have observed that SARS-CoV-2 is capable of infecting the lung cells obtained from infected fawns. Moreover, an efficient replication of SARS-CoV-2 has been observed in infected lung cells, indicating the susceptibility of white-tailed deer to SARS-CoV-2 infection and replication.

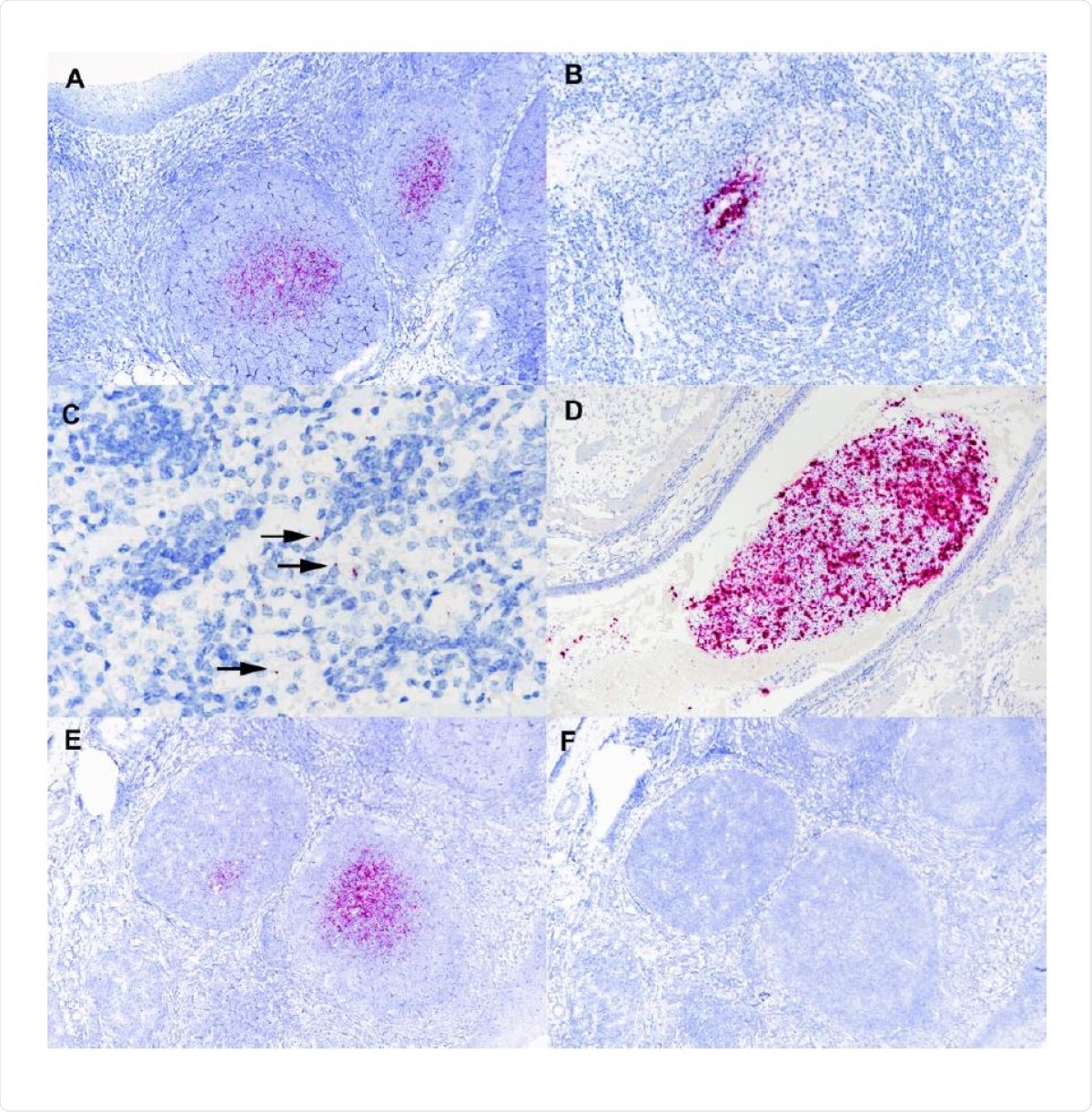
Tissues from white-tailed deer fawn inoculated intranasally with SARS-CoV-2 and examined 21 days later. Note intense labeling of viral RNA in the centers of lymphoid follicles (A) located subjacent to tonsillar epithelium (upper left). Note labeling for SARS-CoV-2 RNA within medial retropharyngeal lymph node follicle (B) and mediastinal lymph node medulla (C). Nasal turbinate lumen contains aggregate of mucus, cells and debris with intense labeling for SARS-CoV-2 RNA (D). Adjacent microscopic sections demonstrate intense labeling of lymphoid follicles with probe for SARS-CoV-2 RNA (E) but no labeling using the anti-genomic sense probe (F). ISH- RNAscope.
Tissues from white-tailed deer fawn inoculated intranasally with SARS-CoV-2 and examined 21 days later. Note intense labeling of viral RNA in the centers of lymphoid follicles (A) located subjacent to tonsillar epithelium (upper left). Note labeling for SARS-CoV-2 RNA within medial retropharyngeal lymph node follicle (B) and mediastinal lymph node medulla (C). Nasal turbinate lumen contains aggregate of mucus, cells and debris with intense labeling for SARS-CoV-2 RNA (D). Adjacent microscopic sections demonstrate intense labeling of lymphoid follicles with probe for SARS-CoV-2 RNA (E) but no labeling using the anti-genomic sense probe (F). ISH- RNAscope.

Throughout the study period (21 days), the infected fawns had not shown any COVID-19-related clinical symptoms or respiratory distress, except for a slight and temporary increase in body temperature. Moreover, no obvious lesions have been observed in post-mortem examinations.  

To investigate the pattern of SARS-CoV-2 infection in the respiratory and gastrointestinal tracts, the scientists have analyzed the nasal and rectal swab samples collected from infected and indirect contact fawns. Although no evidence of viral entry into the bloodstream has been found, nasal secretions from infected fawns did show the presence of viral RNA. Interestingly, high viral load has also been detected in nasal secretions from indirect contact animals. However, a transient shedding of SARS-CoV-2 has been observed in fecal samples collected from both infected and indirect contact fawns.      

Regarding tissue distribution of SARS-CoV-2, consistently higher viral loads have been observed in nasal turbinates, palatine tonsils, and retropharyngeal lymph nodes obtained from both infected and indirect contact fawns. No tissue distribution of viral RNA has been observed in the lung, kidney, intestine, brain, or mesenteric lymph nodes.  

To investigate immune responses against SARS-CoV-2, the scientists measured the levels of nucleocapsid- and spike receptor-binding domain (RBD)-specific antibodies as well as neutralizing antibodies in serum samples obtained from infected and indirect contact animals. The presence of neutralizing and spike-RBD-specific antibodies in serum has been observed already after seven days of infection, and the levels of these antibodies have been shown to increase over time.

Overall, the study findings reveal that white-tailed deer are susceptible to subclinical SARS-CoV-2 infection and that intra-species transmission of the infection is possible via indirect contact. The study provides significant information about animal hosts that are susceptible to SARS-CoV-2 infection and that the findings can be potentially used to develop interventions to prevent possible reverse zoonosis.  

This news article was a review of a preliminary scientific report that had not undergone peer-review at the time of publication. Since its initial publication, the scientific report has now been peer reviewed and accepted for publication in a Scientific Journal. Links to the preliminary and peer-reviewed reports are available in the Sources section at the bottom of this article. View Sources

Journal references:

Article Revisions

  • Apr 3 2023 - The preprint preliminary research paper that this article was based upon was accepted for publication in a peer-reviewed Scientific Journal. This article was edited accordingly to include a link to the final peer-reviewed paper, now shown in the sources section.
Dr. Sanchari Sinha Dutta

Written by

Dr. Sanchari Sinha Dutta

Dr. Sanchari Sinha Dutta is a science communicator who believes in spreading the power of science in every corner of the world. She has a Bachelor of Science (B.Sc.) degree and a Master's of Science (M.Sc.) in biology and human physiology. Following her Master's degree, Sanchari went on to study a Ph.D. in human physiology. She has authored more than 10 original research articles, all of which have been published in world renowned international journals.

Citations

Please use one of the following formats to cite this article in your essay, paper or report:

  • APA

    Dutta, Sanchari Sinha Dutta. (2023, April 03). White-tailed deer susceptible to SARS-CoV-2 infection, study finds. News-Medical. Retrieved on January 19, 2026 from https://www.appetitesciencelab.com/news/20210115/White-tailed-deer-susceptible-to-SARS-CoV-2-infection-study-finds.aspx.

  • MLA

    Dutta, Sanchari Sinha Dutta. "White-tailed deer susceptible to SARS-CoV-2 infection, study finds". News-Medical. 19 January 2026. <https://www.appetitesciencelab.com/news/20210115/White-tailed-deer-susceptible-to-SARS-CoV-2-infection-study-finds.aspx>.

  • Chicago

    Dutta, Sanchari Sinha Dutta. "White-tailed deer susceptible to SARS-CoV-2 infection, study finds". News-Medical. https://www.appetitesciencelab.com/news/20210115/White-tailed-deer-susceptible-to-SARS-CoV-2-infection-study-finds.aspx. (accessed January 19, 2026).

  • Harvard

    Dutta, Sanchari Sinha Dutta. 2023. White-tailed deer susceptible to SARS-CoV-2 infection, study finds. News-Medical, viewed 19 January 2026, https://www.appetitesciencelab.com/news/20210115/White-tailed-deer-susceptible-to-SARS-CoV-2-infection-study-finds.aspx.

Comments

The opinions expressed here are the views of the writer and do not necessarily reflect the views and opinions of News Medical.
Post a new comment
Post

Sign in to keep reading

We're committed to providing free access to quality science. By registering and providing insight into your preferences you're joining a community of over 1m science interested individuals and help us to provide you with insightful content whilst keeping our service free.

or

While we only use edited and approved content for Azthena answers, it may on occasions provide incorrect responses. Please confirm any data provided with the related suppliers or authors. We do not provide medical advice, if you search for medical information you must always consult a medical professional before acting on any information provided.

Your questions, but not your email details will be shared with OpenAI and retained for 30 days in accordance with their privacy principles.

Please do not ask questions that use sensitive or confidential information.

Read the full Terms & Conditions.

You might also like...
Gut microbe emerges as a promising tool in the fight against COVID-19