No inflammation of cerebrospinal fluid in COVID-19 patients with neurological features, study finds

Many patients with coronavirus disease 2019 (COVID-19) have shown neurological complications, leading to scientific interest in the role played by its causative pathogen, severe acute respiratory syndrome coronavirus 2 (SARS-CoV-2), in brain inflammation. A new preprint that appeared on the medRxiv* server described the absence of neuroinflammation in cerebrospinal fluid (CSF).

This news article was a review of a preliminary scientific report that had not undergone peer-review at the time of publication. Since its initial publication, the scientific report has now been peer reviewed and accepted for publication in a Scientific Journal. Links to the preliminary and peer-reviewed reports are available in the Sources section at the bottom of this article. View Sources

Earlier studies show diverse findings in CSF

Possible complications in the central and peripheral nervous system (CNS and PNS, respectively) in COVID-19 patients include encephalitis, acute disseminated encephalomyelitis (ADEM), cranial nerve palsies, and Guillain-Barré syndrome (GBS). It is unclear how exactly these relate to the virus, but one way to begin to answer these questions is by examining the CSF.

Several earlier CSF studies have not found consensus on how and in what ways COVID-19 can be associated with related neurological symptoms. Some researchers have found anti-SARS-CoV-2 spike immunoglobulin G (IgG) antibodies in several such patients with encephalopathy; others have claimed to find inflammatory markers or signs of neuron damage.

Study details

The current study looked specifically for features of neuronal inflammation, antibodies to the virus, and viral RNA. They also compared the CSF from COVID-19 patients with neurological features with that of non-COVID-19 patients with stroke, neurological infections, and inflammations of the nervous system. They aimed to identify any common pathways underlying these symptoms.

The researchers carried out a cross-sectional study on 18 adult COVID-19 patients, who had neurological features, and 14 healthy controls, along with 68 patients without COVID-19 but with neurological disease. The median age in the COVID-19 group was 56 years, and over half were male.

Of the 18 patients, 16 had a diagnosis of COVID-19 based on reverse transcriptase-polymerase chain reaction (RT PCR) testing, and two based on positive serology. Five and eight patients had severe and critical disease, respectively, while four had moderate disease. Four of them succumbed to the illness.

Neurological manifestations in COVID-19 comprised seven cases of stroke, six with encephalopathies, and five with headaches or other symptoms. A third of them (six patients) had COVID-19 hyperinflammatory syndrome (C-HIS), of whom four had encephalopathy. The median time from the onset of COVID-19 to neurological symptoms was less than a day. In half of the 18 patients, the initial presentation included neurological manifestations.

Six of them had three or more underlying chronic conditions, with nine of them having one or more such conditions.

Of the controls, there were only 14 healthy individuals, while the rest had various infective or autoimmune conditions.

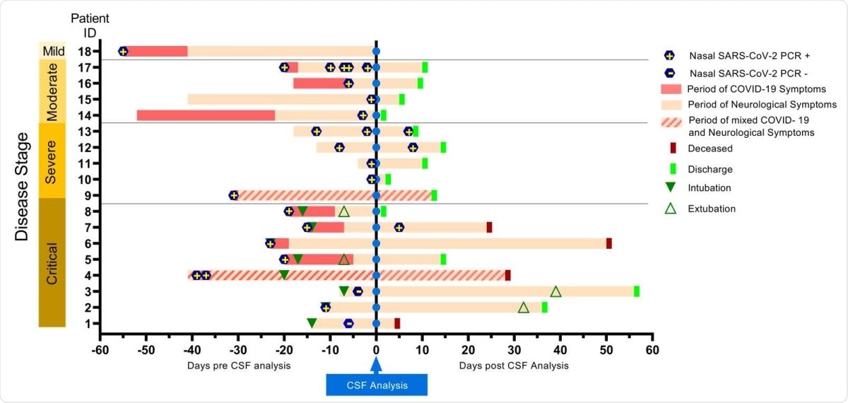
Timeline of clinical features in patients with COVID-19 with neurological complications. Temporal profile of COVID-19 and neurological symptoms as related with the time of CSF analysis (vertical blue line) for the 18 subjects included in the study. Patients were classified based on the NIH disease severity classification (56). Eight subjects presented with neurological symptoms as the first manifestation of COVID-19 (light pink bar), eight exhibited systemic illness symptoms preceding neurological symptoms (dark pink bar) and two presented with mixed neurological and systemic symptoms (diagonal stripes).
Timeline of clinical features in patients with COVID-19 with neurological complications. Temporal profile of COVID-19 and neurological symptoms as related with the time of CSF analysis (vertical blue line) for the 18 subjects included in the study. Patients were classified based on the NIH disease severity classification (56). Eight subjects presented with neurological symptoms as the first manifestation of COVID-19 (light pink bar), eight exhibited systemic illness symptoms preceding neurological symptoms (dark pink bar) and two presented with mixed neurological and systemic symptoms (diagonal stripes).

The CSF was collected from eight of the COVID-19 patients within eight days of the first positive RT-PCR, and after nine or more days in the other ten patients. None of the samples showed CSF pleocytosis, except in one, probably due to contamination with blood. CSF protein was high in eight patients, but in four of them it could be due to a falsely high number of red cells or the presence of stroke, or both. The CSF IgG index, as well as the CSF/albumin ratio, were normal in seven patients. In five patients, oligoclonal bands were tested for, in serum and in CSF.

SARS-CoV-2 in CSF

No COVID-19 CSF sample contained SARS-CoV-2 RNA, when tested by either of two methods. IgA and IgG antibodies against the virus spike protein were present in four and 13 of the 17 tested CSF samples, respectively. There was no correlation between IgG and severity of disease/neurological symptoms or the duration from either symptom onset or RT-PCR testing to CSF sampling. In six of the 13 IgG positives, no white or red blood cells were found. In the rest, there were more than 50 red cells due either to traumatic lumbar puncture or stroke.

Laboratory findings

There was no substantial variation in white cells or CSF protein between the COVID-19 patients in any of the three neurological categories, but when compared with healthy controls, CSF protein was lower in the COVID-19 headache group. Both white cells and protein were lower in COVID-19 patients than in patients with neuroinflammatory disease but without COVID-19.

Neuroaxonal degeneration markers

Neurofilament light chain was used as a marker of neuroaxonal damage, and was higher in COVID-19 patients with critical disease, and in the stroke group (with or without COVID-19), as well as in non-COVID-19 patients with acute encephalitis, autoimmune encephalitis and neuromyelitis optica among the controls.

Cytokine measurements

Within the COVID-19 group, the only increase was seen with TNFa. However, when compared with healthy controls, IL-6, TNFa, IL-10 and IL-12p70 were all increased in the COVID-19 stroke group. However, TNFa and IFNγ were still higher in patients with non-COVID-19 neuroinflammation or stroke. IL-10 and IL-12p70 were higher in critical COVID-19 CSF than in healthy controls, but also in the non-COVID-19 stroke group.

No significant difference was noted in CSF cytokines even in patients with C-HIS, relative to the healthy controls, but INFγ and IL-12p70 were lower in the former category compared to non-C-HIS cases. CSF IL-6 and serum IL-6 levels showed no association.

Acute phase reactants

CSF C-reactive protein (CRP) was associated with severe or critical COVID-19 and C-HIS, while CSF ferritin was associated with severe disease. However, the latter was linked to COVID-19 headache patients, and serum ferritin levels did not correlate with CSF ferritin levels. D-dimer levels were higher in non-COVID-19 patients. Cytokine levels were also not elevated and did not appear to be drivers of neuroinflammation in COVID-19.

What are the implications?

The researchers conclude that neuroinflammation is not supported by these findings. Instead, antibodies are robustly present, but not viral RNA. CRP in CSF was found to be related to severe or critical COVID-19, while neuroaxonal injury was also found to be present in both critical COVID-19 and in stroke patients. Stroke patients were marked by a selection of elevated cytokines, namely, IL-10 and IL-12p70.

The high IgG levels in COVID-19 CSF could be explained by increased permeability of the blood-brain barrier, or simple transfer due to elevated serum levels. They do not seem to be associated with disease severity, unlike earlier studies. This aspect deserves further study, especially in relation to the brain fog and other long-haul neurological manifestations following recovery from COVID-19.

This paucity of CSF inflammatory changes undermines the hypothesis that conventional neuroinflammatory or encephalitic processes play roles in the pathogenesis of the most common neurological complications associated with COVID-19.”

The majority of changes in CSF, indeed, are related to ischemia rather than neuroimmune disease, or the presence of active invasion by SARS-CoV-2. In this manner, therefore, this virus seems to be quite different from other neurotropic viruses like poliomyelitis or West Nile virus, that produce few signs but are overtly

This news article was a review of a preliminary scientific report that had not undergone peer-review at the time of publication. Since its initial publication, the scientific report has now been peer reviewed and accepted for publication in a Scientific Journal. Links to the preliminary and peer-reviewed reports are available in the Sources section at the bottom of this article. View Sources

Journal references:

Article Revisions

  • Apr 3 2023 - The preprint preliminary research paper that this article was based upon was accepted for publication in a peer-reviewed Scientific Journal. This article was edited accordingly to include a link to the final peer-reviewed paper, now shown in the sources section.
Dr. Liji Thomas

Written by

Dr. Liji Thomas

Dr. Liji Thomas is an OB-GYN, who graduated from the Government Medical College, University of Calicut, Kerala, in 2001. Liji practiced as a full-time consultant in obstetrics/gynecology in a private hospital for a few years following her graduation. She has counseled hundreds of patients facing issues from pregnancy-related problems and infertility, and has been in charge of over 2,000 deliveries, striving always to achieve a normal delivery rather than operative.

Citations

Please use one of the following formats to cite this article in your essay, paper or report:

  • APA

    Thomas, Liji. (2023, April 03). No inflammation of cerebrospinal fluid in COVID-19 patients with neurological features, study finds. News-Medical. Retrieved on January 17, 2026 from https://www.appetitesciencelab.com/news/20210114/No-inflammation-of-cerebrospinal-fluid-in-COVID-19-patients-with-neurological-features-study-finds.aspx.

  • MLA

    Thomas, Liji. "No inflammation of cerebrospinal fluid in COVID-19 patients with neurological features, study finds". News-Medical. 17 January 2026. <https://www.appetitesciencelab.com/news/20210114/No-inflammation-of-cerebrospinal-fluid-in-COVID-19-patients-with-neurological-features-study-finds.aspx>.

  • Chicago

    Thomas, Liji. "No inflammation of cerebrospinal fluid in COVID-19 patients with neurological features, study finds". News-Medical. https://www.appetitesciencelab.com/news/20210114/No-inflammation-of-cerebrospinal-fluid-in-COVID-19-patients-with-neurological-features-study-finds.aspx. (accessed January 17, 2026).

  • Harvard

    Thomas, Liji. 2023. No inflammation of cerebrospinal fluid in COVID-19 patients with neurological features, study finds. News-Medical, viewed 17 January 2026, https://www.appetitesciencelab.com/news/20210114/No-inflammation-of-cerebrospinal-fluid-in-COVID-19-patients-with-neurological-features-study-finds.aspx.

Comments

The opinions expressed here are the views of the writer and do not necessarily reflect the views and opinions of News Medical.
Post a new comment
Post

Sign in to keep reading

We're committed to providing free access to quality science. By registering and providing insight into your preferences you're joining a community of over 1m science interested individuals and help us to provide you with insightful content whilst keeping our service free.

or

While we only use edited and approved content for Azthena answers, it may on occasions provide incorrect responses. Please confirm any data provided with the related suppliers or authors. We do not provide medical advice, if you search for medical information you must always consult a medical professional before acting on any information provided.

Your questions, but not your email details will be shared with OpenAI and retained for 30 days in accordance with their privacy principles.

Please do not ask questions that use sensitive or confidential information.

Read the full Terms & Conditions.

You might also like...
GLP-1 drugs calm inflammation beyond diabetes and weight loss