The results of a new study presented at the annual meeting of the Radiological Society of North America (RSNA) reveal the link between increased levels of anxiety and an elevated rate of progression to Alzheimer's disease from symptoms of mild cognitive impairment.

Image Credit: Radiological Society of North America
Investigating the role of anxiety in the speed of cognitive decline
According to the World Health Organization (WHO), around 50 million people globally suffer from dementia, with almost 10 million new cases arising each year. Statistics show that Alzheimer's disease is the most common form of dementia, accounting for as many as 60–70% of cases. The disease is considered to be a major public health crisis across the globe. With deaths from the disease increasing by two-fold since 2000, new approaches to reducing the detrimental impact of Alzheimer's disease are needed to protect the aging population.
Often, the first stage of Alzheimer's disease is a decline in cognitive function. While cognitive decline is common in the aging population and is not necessarily linked with disease, the speed of decline is accelerated in those with Alzheimer's disease. Additionally, anxiety has also been noted as commonly presenting itself alongside mild cognitive impairment. However, the relationship between the two has not been well-researched.
Researchers at the Medical University of South Carolina (MUSC) designed a study to shed some light on the connection between cognitive decline and anxiety. Maria Vittoria Spampinato, the study’s senior author, explains that "In this study, we wanted to see if anxiety had an effect on brain structure, or if the effect of anxiety was independent from brain structure in favoring the progression of disease.”
Anxiety may speed up cognitive impairment in Alzheimer's disease
A total of 339 patients were recruited in the study. Patients had an average age of 72 years and had a baseline diagnosis of mild cognitive impairment. During the study, a total of 72 patients went on to become diagnosed with Alzheimer's disease.
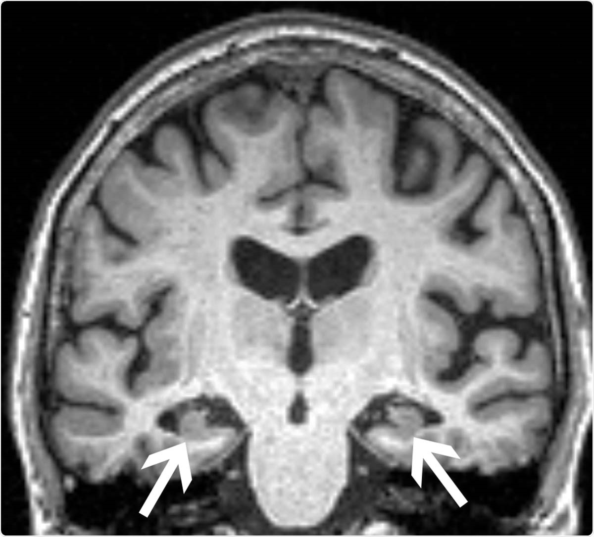
MRIs of the patients’ brains were analyzed to establish the baseline volumes of two key areas implicated in memory formation, the hippocampus, and the entorhinal cortex. The researchers also determined whether patients had the ApoE4 allele, known to be the most prevalent genetic risk factor for Alzheimer's disease. Additionally, the researchers used clinical surveys to measure anxiety.
The results showed that patients who went on to obtain a diagnosis of Alzheimer's disease were those who had significantly lower hippocampal volumes at the onset of the study. They also had reduced volumes of the entorhinal cortex and were more likely to have the ApoE4 allele. These findings were expected.
The study’s results also revealed that anxiety was independently related to cognitive decline. Those with mild cognitive impairment patients developed Alzheimer's disease at faster rates if they also had symptoms of anxiety, in comparison to those who did not. This effect was observed regardless of if the patient had the genetic risk factor or not.
Anxiety as a cause or effect of cognitive decline?
The study’s researchers were able to highlight a link between symptoms of anxiety and the rate of progression of Alzheimer's disease. These findings, therefore, may be critical to developing new therapeutic approaches to disease prevention in those who have already begun showing signs of cognitive decline.
Spampinato states highlights that first, more research is needed to understand the relationship.
If we were able in the future to find that anxiety is actually causing progression, then we should more aggressively screen for anxiety disorders in the elderly.”
Next, the researchers will focus on investigating whether anxiety is a cause or effect of cognitive decline. They will also explore the impact of gender differences on the relationship between anxiety and cognitive decline.