Algae may the key to SARS vaccine

A protein from algae may have what it takes to stop Severe Acute Respiratory Syndrome (SARS) infections, according to new research.

A recent study has found that mice treated with the protein, Griffithsin (GRFT), had a 100 percent survival rate after exposure to the SARS coronavirus (SARS-CoV), as compared to a 30 percent survival for untreated mice.

The research will be presented at the American Thoracic Society's 105th International Conference in San Diego on Wednesday, May 20.

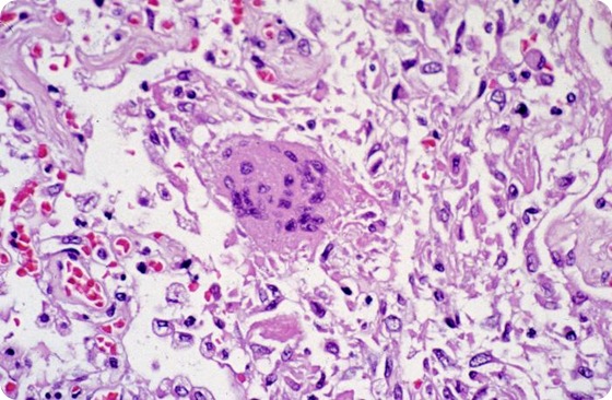
Despite its dramatic entrance into the domain of worldwide public health threats in 2002, little headway has been made therapeutically toward preventing or treating SARS after infection. But GRFT, a lectin protein derived from algae, offers a new possible hope. GRFT is thought to exert its anti-viral effects by altering the shape of the sugar molecules that line the virus' envelope, allowing it to attach to and invade human cells, where it takes over the cells' reproductive machinery to replicate itself. Without that crucial ability, the virus is unable to cause disease. This photomicrograph reveals lung tissue pathology due to SARS.

"While preliminary, these results are very exciting and indicate a possible therapeutic approach to future SARS or other coronaviral outbreaks," stated Christine Wohlford-Lenane, senior research assistant at the department of pediatrics University of Iowa and the lead author of the study.

Researchers treated experimental mice with GRFT or a sham treatment and then inoculated them with the SARS virus. They analyzed the antiviral activity of GRFT and the extent to which the virus was able to invade and replicate in the mice at two, four and 10 days after infection. They found that mice who had not been treated with GRFT showed 20 times more plaque-forming units of virus than treated mice. They also noted that the lungs of untreated infected mice showed extensive necrotizing bronchitis and prominent edema, while mice treated with GRFT showed evidence of significantly less severe lung damage. Additionally, mice treated with GRFT did not experience the drastic weight loss of untreated mice, which lost 35 percent of their body mass.  

"This indicates that not only did the GRFT stop the virus from replicating, but also prevented secondary outcomes, such as weight loss, that are associated with infection," said Ms. Wohlford-Lenane.

"We are planning future studies to investigate prophylaxis, versus treatment interventions with GRFT, in the SARS mouse model in collaboration with Barry O'Keefe at the National Cancer Institute," she concluded. "In addition, we want to learn whether mice protected from SARS by GRFT develop protective immunity against future infection."

Comments

The opinions expressed here are the views of the writer and do not necessarily reflect the views and opinions of News Medical.
Post a new comment
Post

Sign in to keep reading

We're committed to providing free access to quality science. By registering and providing insight into your preferences you're joining a community of over 1m science interested individuals and help us to provide you with insightful content whilst keeping our service free.

or

While we only use edited and approved content for Azthena answers, it may on occasions provide incorrect responses. Please confirm any data provided with the related suppliers or authors. We do not provide medical advice, if you search for medical information you must always consult a medical professional before acting on any information provided.

Your questions, but not your email details will be shared with OpenAI and retained for 30 days in accordance with their privacy principles.

Please do not ask questions that use sensitive or confidential information.

Read the full Terms & Conditions.

You might also like...
HPV vaccination reduces risk of vulvar and vaginal lesions