Pneumocystis Pneumonia Symptoms

Pneumocystis pneumonia is a condition caused by a microorganism called Pneumocystis jiroveci. This has been reclassified in recent years as a fungus due to its characteristic nucleotide sequences and cell wall composition. This type of pneumonia is mostly seen in immunocompromised patients, such as those with acquired immunodeficiency disorder (or AIDS).

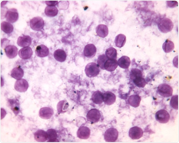
Smear of Pneumocystis jirovecii, formerly known as Pneumocystis carinii, concentrated from human lung. Toluidine blue stain. Cysts of Pneumocystis jirovecii, concentrated from human lung. Toluidine blue stain. Image Credit: CDC
Smear of Pneumocystis jirovecii, formerly known as Pneumocystis carinii, concentrated from human lung. Toluidine blue stain. Cysts of Pneumocystis jirovecii, concentrated from human lung. Toluidine blue stain. Image Credit: CDC

Recent advances in the prophylaxis, diagnosis and treatment of Pneumocystis pneumonia have resulted in a decrease in associated morbidity and mortality. However, the disease continues to be an important clinical entity in patients with severe immunosuppression or whose adherence to specific prophylactic regimens is inadequate.

Pathogenesis of the Disease

Pneumocystis jiroveci reproduces in association with the alveolar type 1 lining cell of the pulmonary tissue. For this reason, active disease is restricted to the lungs. If the ensuing pathological process is not limited by host immune activity or appropriate antimicrobial therapy, the affected alveoli will eventually be filled with this microorganism, along with proteinaceous fluid.

The classic lesion of Pneumocystis pneumonia is, therefore, an interstitial infiltrate of plasma cells and lymphocytes, as well as hyperplasia of specific pneumocytes. Furthermore, the alveoli are full of a characteristic foamy exudate, while the organisms appear as tiny bubbles in a background of proteinaceous fluid.

Such progressive filling of alveoli prevents adequate gas exchange, so the patient slowly suffocates. It can also lead to thickening of the interstitium of the lungs and potentially lung fibrosis. Owing to this mechanism of pathogenesis and its unique life cycle, Pneumocystis jiroveci cannot be cultured routinely, but is rather diagnosed by specific staining demonstrating the trophozoite or the cyst wall.

Clinical Presentation of Pneumocystis pneumonia

The classic triad of symptoms associated with Pneumocystis pneumonia comprises fever, nonproductive cough, and progressive exertional dyspnea. These are noted in only about 50 percent of cases. In other words, the signs and symptoms of the disease can be very subtle. This means that in order to establish a correct diagnosis it is necessary to have a high index of clinical suspicion and heightened awareness. This is especially so because the risk factors for HIV and other immunosuppressed situations may be denied or unknown.

Other symptoms associated with this type of pneumonia may include chills, weight loss, nonspecific chest discomfort. In rare instances the patient may have hemoptysis (coughing up of lood). If present, these symptoms usually show progress slowly over weeks to months. A careful medical history often reveals progressive, longstanding exertional dyspnea.

Physical findings on examination are also nonspecific. During auscultation fine dry crackles and rales are sometimes heard, but normal findings are observed in up to half of affected individuals. In children with severe clinical presentations, the findings may include nasal flaring, cyanosis and the retraction (inward movement) of rib muscles.

Extrapulmonary diseases caused by Pneumocystis jiroveci are rarely seen, but have been described in the medical literature. They occur especially in patients with advanced HIV infection without prophylaxis. They are known to involve organs such as the skin, spleen, heart, eyes or thyroid gland. Such presentations can occur even in the absence of lung disease.

A grave potential complication of Pneumocystis pneumonia is a pulmonary crisis akin to acute respiratory distress syndrome (ARDS) which may necessitate intubation. This happens infrequently, and leaves physicians faced with the dilemma of choosing between differential diagnoses of Pneumocystis pneumonia, classical bacterial pneumonia, tuberculosis of the lungs, as well as a myriad of other respiratory disorders.

References

Further Reading

Last Updated: Feb 27, 2019

Dr. Tomislav Meštrović

Written by

Dr. Tomislav Meštrović

Dr. Tomislav Meštrović is a medical doctor (MD) with a Ph.D. in biomedical and health sciences, specialist in the field of clinical microbiology, and an Assistant Professor at Croatia's youngest university - University North. In addition to his interest in clinical, research and lecturing activities, his immense passion for medical writing and scientific communication goes back to his student days. He enjoys contributing back to the community. In his spare time, Tomislav is a movie buff and an avid traveler.

Citations

Please use one of the following formats to cite this article in your essay, paper or report:

  • APA

    Meštrović, Tomislav. (2019, February 27). Pneumocystis Pneumonia Symptoms. News-Medical. Retrieved on January 17, 2026 from https://www.appetitesciencelab.com/health/Pneumocystis-Pneumonia-Symptoms.aspx.

  • MLA

    Meštrović, Tomislav. "Pneumocystis Pneumonia Symptoms". News-Medical. 17 January 2026. <https://www.appetitesciencelab.com/health/Pneumocystis-Pneumonia-Symptoms.aspx>.

  • Chicago

    Meštrović, Tomislav. "Pneumocystis Pneumonia Symptoms". News-Medical. https://www.appetitesciencelab.com/health/Pneumocystis-Pneumonia-Symptoms.aspx. (accessed January 17, 2026).

  • Harvard

    Meštrović, Tomislav. 2019. Pneumocystis Pneumonia Symptoms. News-Medical, viewed 17 January 2026, https://www.appetitesciencelab.com/health/Pneumocystis-Pneumonia-Symptoms.aspx.

Comments

The opinions expressed here are the views of the writer and do not necessarily reflect the views and opinions of News Medical.
Post a new comment
Post

While we only use edited and approved content for Azthena answers, it may on occasions provide incorrect responses. Please confirm any data provided with the related suppliers or authors. We do not provide medical advice, if you search for medical information you must always consult a medical professional before acting on any information provided.

Your questions, but not your email details will be shared with OpenAI and retained for 30 days in accordance with their privacy principles.

Please do not ask questions that use sensitive or confidential information.

Read the full Terms & Conditions.