Glomerulosclerosis - Hardening of Glomerulus in the Kidney

Glomerulosclerosis refers to the scarring of the glomeruli in the kidneys following any type of insult.

The glomeruli are the tiny loops of capillaries that rest on the special basement membrane which is found in the glomerular units. They filter out waste from the blood and produce the first fluid that is then processed within the renal tubules to form urine. At the same time they keep blood cells and proteins within the bloodstream passing through the capillaries.

When the glomeruli are damaged, they may heal by scarring. This means they lose their normal function. This appears clinically in the form of proteinuria. At the same time, loss of normal renal filtering capacity leads to the build-up of metabolic wastes such as urea and creatinine in the body, leading to toxic symptoms.

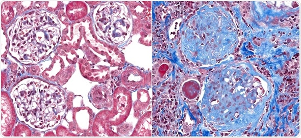
Normal healthy glomeruli (left) with glomerulosclerosis (right) a condition with fibrosis (scar) of the glomeruli (blue stain). The thin loops of blood vessels are replaced by the blue scar tissue. Image Copyright: vetpathologist / Shutterstock
Normal healthy glomeruli (left) with glomerulosclerosis (right) a condition with fibrosis (scar) of the glomeruli (blue stain). The thin loops of blood vessels are replaced by the blue scar tissue. Image Copyright: vetpathologist / Shutterstock

There is no age or gender predilection. When it is due to glomerular injury, the glomerular cells are stimulated to produce fibrous connective tissue by various inflammatory mediators, including growth stimulators. In other conditions, the growth mediators are carried in the blood from other parts of the body.

Symptoms and Signs

Glomerulosclerosis is often asymptomatic in the beginning. Once it is established, the primary sign is loss of protein from the blood in the urine, or proteinuria. This is, in many cases, detected via routine urine testing. However, there are many other causes for proteinuria and only about 7-15% of people with protein in their urine have glomerulosclerosis.

Proteinuria leads to a deficiency in the osmotic pressure of the blood – this means it is less able to retain fluid within the intravascular compartment of the body. This is manifested as pedal edema or swelling over the feet and ankles. Other sites of edema may occur, such as:

  • swelling of the abdomen due to the exudation of fluid into the peritoneal cavity
  • swelling around the eyes
  • generalized edema

The presence of massive proteinuria is often an indicator of the high risk of end-stage renal disease.

Causes of Glomerulosclerosis

The cause of glomerulosclerosis may be any of the following, or idiopathic:

  • Diabetes
  • Systemic immunologic diseases such as systemic lupus erythematosus
  • Glomerulonephritis due to infections, drugs or toxins – this includes post-streptococcal glomerulonephritis,
  • Hereditary conditions such as Alport’s syndrome
  • Focal segmental glomerulosclerosis – this is an idiopathic condition in which there are scattered foci of sclerotic damage. This makes diagnosis and treatment more difficult.

Diagnosis and Management

Diagnosis of glomerulosclerosis is based upon the demonstration of proteinuria and the characteristic finding of glomerular fibrosis and loss of anatomy upon renal biopsy. An ultrasound is often recommended to detect any changes in renal anatomy.

Treatment varies depending upon:

  • Severity of the condition
  • Previous health status of the individual
  • Age of patient
  • Tolerance of various therapeutic modalities

Management is directed at preventing further damage, because already scarred glomeruli cannot be repaired medically or surgically. First, the cause or condition that led to glomerulosclerosis must be identified, if it is not already known.

Treatment

The available options may include:

Immunosuppressants

These will prevent the production of autoimmune antibodies in autoimmune renal conditions

Anti-hypertensive Agents

These are to limit the progression of the renal damage both by the underlying condition and by an elevated blood pressure, especially angiotensinogen-converting enzyme (ACE) inhibitors and angiotensin receptor blockers (ARBs)

Dietary Changes

This includes sodium and protein restriction to reduce the load on the kidneys

Dialysis

This is required to replace renal function in end-stage renal disease

Kidney Transplant

This may be necessary for irreversibly damaged kidneys which fail to maintain minimum levels of renal function.

References

Further Reading

Last Updated: May 18, 2023

Dr. Liji Thomas

Written by

Dr. Liji Thomas

Dr. Liji Thomas is an OB-GYN, who graduated from the Government Medical College, University of Calicut, Kerala, in 2001. Liji practiced as a full-time consultant in obstetrics/gynecology in a private hospital for a few years following her graduation. She has counseled hundreds of patients facing issues from pregnancy-related problems and infertility, and has been in charge of over 2,000 deliveries, striving always to achieve a normal delivery rather than operative.

Citations

Please use one of the following formats to cite this article in your essay, paper or report:

  • APA

    Thomas, Liji. (2023, May 18). Glomerulosclerosis - Hardening of Glomerulus in the Kidney. News-Medical. Retrieved on January 16, 2026 from https://www.appetitesciencelab.com/health/Glomerulosclerosis-Hardening-of-Glomerulus-in-the-Kidney.aspx.

  • MLA

    Thomas, Liji. "Glomerulosclerosis - Hardening of Glomerulus in the Kidney". News-Medical. 16 January 2026. <https://www.appetitesciencelab.com/health/Glomerulosclerosis-Hardening-of-Glomerulus-in-the-Kidney.aspx>.

  • Chicago

    Thomas, Liji. "Glomerulosclerosis - Hardening of Glomerulus in the Kidney". News-Medical. https://www.appetitesciencelab.com/health/Glomerulosclerosis-Hardening-of-Glomerulus-in-the-Kidney.aspx. (accessed January 16, 2026).

  • Harvard

    Thomas, Liji. 2023. Glomerulosclerosis - Hardening of Glomerulus in the Kidney. News-Medical, viewed 16 January 2026, https://www.appetitesciencelab.com/health/Glomerulosclerosis-Hardening-of-Glomerulus-in-the-Kidney.aspx.

Comments

The opinions expressed here are the views of the writer and do not necessarily reflect the views and opinions of News Medical.
Post a new comment
Post

While we only use edited and approved content for Azthena answers, it may on occasions provide incorrect responses. Please confirm any data provided with the related suppliers or authors. We do not provide medical advice, if you search for medical information you must always consult a medical professional before acting on any information provided.

Your questions, but not your email details will be shared with OpenAI and retained for 30 days in accordance with their privacy principles.

Please do not ask questions that use sensitive or confidential information.

Read the full Terms & Conditions.