Flexible vs Rigid Flat Foot

Skip to:

Flat foot is characterized by absence of an arch in the foot that is required to get support while standing or walking.

Flat foot

What is flat foot?

Flat foot, also known as pes planus or pes valgus, is a condition that is most commonly defined by a collapse in the medial longitudinal arch of the foot and sagging of the heel valgus. The condition has two forms: flexible flat foot and rigid flat foot. On birth, all children have flat feet. An arch in the foot usually starts appearing after the age of 3 years.

In flexible flat foot, the arch can be seen when foot heel is elevated and no weight is applied on the foot. However, the arch disappears when a child stands on full foot. In rigid flat foot, no arch is present at all. Rigid flat foot generally occurs due to certain bone or joint disorders.  

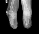
How to diagnose flat foot?

For initial diagnosis, physical examination of the foot is performed to analyze the foot mechanics. If the pain is severe, doctors may recommend imaging tests, such as x-ray, CT scan, MRI, or ultrasound, to detect the nature and degree of deformity.

What to expect if a child has flexible flat foot?

Flexible flat foot is generally asymptomatic and does not cause pain. However, it may occasionally cause pain after rigorous walking or intense sport activity. In some cases, the condition is hereditary. Children with genetic birth problems, such as Down’s syndrome or Marfan’s syndrome, can also have flexible flat foot due to foot ligament laxity (loose ligament), which allows the arch to fall. These children are more susceptible to develop severe form of flexible flat foot, which can be painful.
In most of the cases, flexible flat foot does not require any medical intervention. A treatment is only needed if experiencing pain during walking/standing or facing difficulty wearing shoes. In such cases, arch supports or braces are generally used to support the foot and relieve the symptoms. To avoid worsening of the condition and possible complications in the adulthood, arch supports are provided in children between ages 3 to 10 years.

If the pain is bothersome, doctors sometimes recommend physiotherapy to reduce the symptom severity. Non-steroidal anti-inflammatory drugs can also be taken to relieve the pain. In addition, resting the foot and applying ice to the painful region can be helpful.

A surgery may be required only in extremely rare cases where other treatment options fail to ameliorate the condition.  

Flat foot treatment

What to expect if a child has rigid flat foot?

Rigid flat foot mostly occurs because of abnormal foot development that can be resulted from congenital defects (vertical talus) or abnormal connection between foot bones (tarsal coalition).

In vertical talus, the lower bone in the ankle joint (talus) is wrongly positioned with respect to the middle foot bones. It is a birth defect and often associated with neuromuscular disorders, such as arthrogryposis or spina bifida.

If left untreated, the condition can lead to painful callous (thick patches on the skin) formation, and a child can face difficulty wearing shoes and performing normal childhood activities.

In most of the cases, surgery is required to correct the condition. Initially after diagnosis, the foot is stretched with casting or other manipulations. Afterward, a surgery is performed usually between ages 6 months to 2 years to fix the bone dislocations and holding the bones in place. After surgery, casting and bracing are performed. In some cases, tendon lengthening is also required.

If the condition reappears later in life, an addition surgery may be required to fuse the bones in place. This surgery is done in older children when foot is almost developed. Despite significantly correcting the deformity, no surgery is sufficient to completely cure the stiffness in the foot.  

In tarsal coalition, abnormal connections between bones are made during fetal development. The connections can be fibrous, cartilaginous, or bony.  The abnormalities are most commonly seen between the calcaneus and the navicular bones and the talus and calcaneus bones.

Tarsal coalition is often present at birth and progresses with age. In children, it reduces foot flexibility and exerts excessive pressure on other parts of the foot, leading to painful locomotion. Another common characteristic of tarsal coalition is spasm in the peroneal tendons.

Initially, doctors use conventional treatments, including arch support, bracing, casting, anti-inflammatory medicines, to treat the condition. In severe cases, surgery to remove the coalition is the golden standard. After removing the coalition, muscle is often inserted in the gap or joints are fused to prevent restructuring of the coalition. Depending on the size, coalition can also be replaced with fat. Mostly, a successful surgery reduces the symptom severity to a great extent.   

Further Reading

Last Updated: Aug 21, 2019

Dr. Damien Jonas Wilson

Written by

Dr. Damien Jonas Wilson

Dr. Damien Jonas Wilson is a medical doctor from St. Martin in the Caribbean. He was awarded his Medical Degree (MD) from the University of Zagreb Teaching Hospital. His training in general medicine and surgery compliments his degree in biomolecular engineering (BASc.Eng.) from Utrecht, the Netherlands. During this degree, he completed a dissertation in the field of oncology at the Harvard Medical School/ Massachusetts General Hospital. Dr. Wilson currently works in the UK as a medical practitioner.

Citations

Please use one of the following formats to cite this article in your essay, paper or report:

  • APA

    Wilson, Damien Jonas. (2019, August 21). Flexible vs Rigid Flat Foot. News-Medical. Retrieved on January 16, 2026 from https://www.appetitesciencelab.com/health/Flexible-vs-Rigid-Flat-Foot.aspx.

  • MLA

    Wilson, Damien Jonas. "Flexible vs Rigid Flat Foot". News-Medical. 16 January 2026. <https://www.appetitesciencelab.com/health/Flexible-vs-Rigid-Flat-Foot.aspx>.

  • Chicago

    Wilson, Damien Jonas. "Flexible vs Rigid Flat Foot". News-Medical. https://www.appetitesciencelab.com/health/Flexible-vs-Rigid-Flat-Foot.aspx. (accessed January 16, 2026).

  • Harvard

    Wilson, Damien Jonas. 2019. Flexible vs Rigid Flat Foot. News-Medical, viewed 16 January 2026, https://www.appetitesciencelab.com/health/Flexible-vs-Rigid-Flat-Foot.aspx.

Comments

The opinions expressed here are the views of the writer and do not necessarily reflect the views and opinions of News Medical.
Post a new comment
Post

While we only use edited and approved content for Azthena answers, it may on occasions provide incorrect responses. Please confirm any data provided with the related suppliers or authors. We do not provide medical advice, if you search for medical information you must always consult a medical professional before acting on any information provided.

Your questions, but not your email details will be shared with OpenAI and retained for 30 days in accordance with their privacy principles.

Please do not ask questions that use sensitive or confidential information.

Read the full Terms & Conditions.

You might also like...
Women’s running shoes fail to fit women’s feet